Mindray Consona N5 – Đột Phá Trong Chẩn Đoán Hình Ảnh Y Tế Hiện Đại
Mindray Consona N5 là bước tiến vượt bội trong lĩnh vực thiết bị y tế, mang lại giải pháp toàn diện cho các trung tâm y tế hiện đại với khả năng chẩn đoán chính xác và hiệu quả.
Trong bài viết này, chúng ta sẽ đi sâu vào các đặc điểm nổi bật của Mindray Consona N5, những lợi ích vượt trội mà nó mang lại, cùng với các phân tích chuyên sâu về ứng dụng thực tế trong môi trường y tế ngày nay.
Tại Sao Lựa Chọn Mindray Consona N5 – Thiết Bị Y Tế Đột Phá?
Trong thế giới y học, việc chọn lựa thiết bị phù hợp không chỉ là về công nghệ, mà còn về sự tin cậy, dễ sử dụng và khả năng tích hợp tích cực vào quy trình chẩn đoán. Mindray Consona N5 đã khắc phục mọi hạn chế của các hệ thống truyền thống, đem đến giá trị vượt trội cho các cơ sở y tế hiện đại.
Trước khi đi vào chi tiết từng khía cạnh, ta có thể nhận thấy rõ ràng rằng Mindray Consona N5 phù hợp không chỉ với các bệnh viện lớn, mà còn phù hợp với các phòng khám, trung tâm y tế có quy mô nhỏ hơn. Với những tính năng cao cấp, nó giúp nâng cao chất lượng chẩn đoán, giảm thời gian chờ đợi và tối ưu hóa hiệu quả công việc của nhân viên y tế.
Đặc điểm nổi bật của Mindray Consona N5 – Đổi Mới Trong Công Nghệ Y Tế
Thấu hiểu được nhu cầu ngày càng cao của ngành y tế hiện đại, nhà sản xuất đã tích hợp các công nghệ tiên tiến nhất vào Mindray Consona N5, đáp ứng khả năng chẩn đoán chính xác, nhanh chóng và rõ ràng hơn bao giờ hết.
Trong phần này, chúng ta sẽ phân tích sâu vào các tính năng tiêu biểu của máy như hình ảnh sắc nét, khả năng xử lý dữ liệu linh hoạt và khả năng kết nối dữ liệu đa dạng. Những cải tiến này không chỉ nâng cao hiệu suất công tác, mà còn giúp các bác sĩ tiết kiệm thời gian, tăng độ tin cậy trong chẩn đoán.
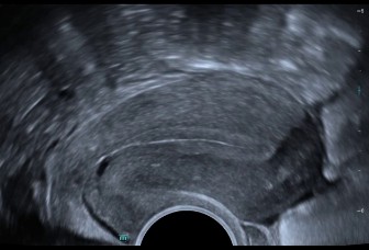
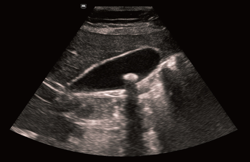
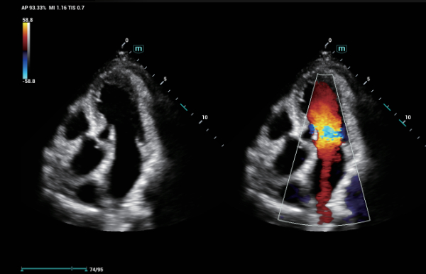
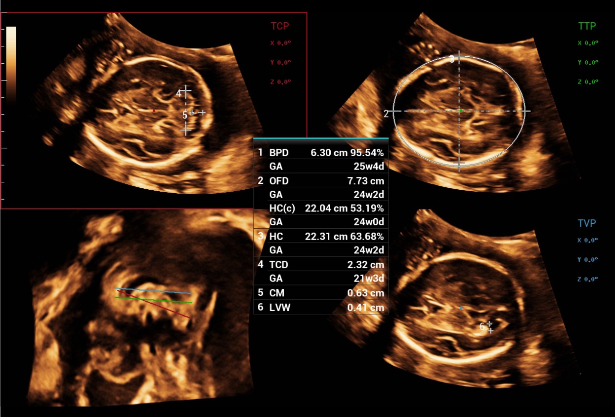
Công nghệ hình ảnh vượt trội giúp chẩn đoán chính xác hơn
Trong hệ thống y tế hiện đại, khả năng hình ảnh rõ ràng và chất lượng cao luôn là ưu tiên hàng đầu. Với Mindray Consona N5, các bác sĩ được trải nghiệm hình ảnh siêu sắc nét, độ phân giả lập cao, giúp phát hiện chính xác các bất thường trong bệnh lý. Công nghệ xử lý ảnh tiên tiến tích hợp trong máy giúp giảm thiểu tối đa các lỗi kỹ thuật, từ đó tăng độ chính xác trong chẩn đoán.
Chất lượng hình ảnh của Mindray Consona N5 còn được cải tiến vượt bậc nhờ vào khả năng xử lý dữ liệu mạnh mẽ, cho phép tái tạo hình ảnh rõ ràng ngay cả trong các điều kiện thiếu sáng hoặc yêu cầu quét các khu vực khó. Điều này giúp các bác sĩ có thể thực hiện các thao tác chuẩn đoán nhanh chóng, chính xác hơn, giảm thiểu tối đa các sai lệch trong quá trình xét nghiệm.
Khả năng xử lý dữ liệu linh hoạt và tối ưu
Hệ thống của Mindray Consona N5 được trang bị khả năng xử lý dữ liệu mạnh mẽ, hỗ trợ đồng bộ dữ liệu từ nhiều nguồn khác nhau, giúp xây dựng một hệ thống lưu trữ và phân tích toàn diện. Điều này giúp các trung tâm y tế dễ dàng quản lý bệnh án, theo dõi tiến trình bệnh nhân, đồng thời hỗ trợ các bước tiếp theo trong quá trình điều trị.
Kết hợp với phần mềm phân tích thông minh, hệ thống còn giúp bác sĩ dễ dàng phát hiện sớm các dấu hiệu bất thường, từ đó đưa ra quyết định nhanh chóng và chính xác hơn. Các chủ đề như hội chẩn từ xa hoặc phân tích kết quả qua mạng cũng trở nên dễ dàng hơn, góp phần thúc đẩy quá trình chẩn đoán từ xa và nâng cao khả năng tiếp cận dịch vụ y tế chất lượng cao.
Tối ưu hóa quy trình vận hành và kết nối dữ liệu đa dạng
Trong lĩnh vực y tế, việc tích hợp dữ liệu từ nhiều nguồn khác nhau trong một hệ thống duy nhất là cực kỳ quan trọng. Mindray Consona N5 hỗ trợ kết nối linh hoạt với các thiết bị chẩn đoán khác như máy siêu âm, máy X-quang, máy nội soi… nhằm tạo thành một hệ thống đồng bộ, tối ưu hóa công tác chẩn đoán và điều trị.
Không chỉ vậy, hệ thống còn cung cấp khả năng liên kết trực tiếp đến hệ thống lưu trữ điện tử và các phần mềm quản lý bệnh viện, giúp giảm thiểu sai sót, rút ngắn thời gian thu thập và phân tích dữ liệu. Nhờ đó mà toàn bộ quá trình xét nghiệm diễn ra nhanh chóng, chính xác, từ đó nâng cao hiệu quả dịch vụ y tế.
Các Ứng Dụng Thực Tế của Mindray Consona N5 Trong Năm 2026:
Trong bối cảnh y tế ngày càng phát triển nhanh chóng, Mindray Consona N5 đã khẳng định vai trò trung tâm trong nhiều lĩnh vực, từ chẩn đoán hình ảnh, xét nghiệm đến hỗ trợ chẩn đoán từ xa. Năm 2024, hệ thống này đã được ứng dụng nhiều vào các thực tiễn khác nhau tại các bệnh viện, trung tâm y tế trên toàn quốc.
Các ứng dụng thực tế của Mindray Consona N5 còn thể hiện qua khả năng dễ dàng tùy biến theo từng mô hình hoạt động, phù hợp với các quy trình chuyên môn khác nhau của từng phòng khám nhỏ, trung tâm lớn hay bệnh viện đa khoa. Điều này mang lại lợi ích vượt trội về mặt thời gian, ngân sách và chất lượng dịch vụ.
Cải tiến trong chẩn đoán từ xa – Thúc đẩy dịch vụ y tế toàn diện
Một trong những lợi thế lớn của Mindray Consona N5 là khả năng kết nối và chia sẻ dữ liệu từ xa một cách linh hoạt. Nhờ có khả năng này, các bác sĩ có thể dễ dàng trao đổi, hội chẩn từ xa, qua đó hỗ trợ chẩn đoán chính xác cho các bệnh nhân ở vùng sâu, vùng xa hoặc trong các tình huống khẩn cấp.
Hệ thống này còn tích hợp các công nghệ an ninh cao cấp để đảm bảo rằng dữ liệu bệnh nhân không bị xâm phạm, đảm bảo tính bảo mật và riêng tư trong quá trình truyền tải. Sự phối hợp này đã giúp thúc đẩy dịch vụ y tế toàn diện, dịch vụ chăm sóc bệnh nhân trở nên linh hoạt, nhanh chóng và chính xác hơn.
Sự tích hợp với các thiết bị chẩn đoán khác – Tăng cường khả năng khám và xét nghiệm toàn diện
Không thể phủ nhận rằng khả năng đồng bộ dữ liệu từ nhiều thiết bị chẩn đoán chính là yếu tố quyết định thành công của Mindray Consona N5 trong môi trường y tế. Đặc biệt, việc tích hợp các thiết bị như siêu âm, X-quang, nội soi giúp bác sĩ có thể xem xét toàn diện tình trạng bệnh qua một hệ thống duy nhất, giảm thiểu công đoạn chuyển đổi dữ liệu và hạn chế sai sót.
Các trung tâm y tế đã ghi nhận sự nâng cao rõ rệt trong thời gian chẩn đoán, giảm bớt các thủ tục rườm rà, qua đó mang lại lợi ích về mặt nhân lực, chi phí và trải nghiệm bệnh nhân. Các phòng khám, bệnh viện thúc đẩy cung cấp dịch vụ khám chữa bệnh đa dạng, chất lượng cao trong một môi trường duy nhất, từ đó cải thiện hiệu quả điều trị và nâng cao sự hài lòng của bệnh nhân.
Phân tích về tác động lâu dài của Consona N5 đối với ngành y tế Việt Nam
Sự ra đời của Mindray Consona N5 có thể coi là bước ngoặt mở ra những tiềm năng mới cho ngành y tế Việt Nam. Nền y học còn nhiều hạn chế về công nghệ, nhân lực và ngân sách, nhưng với hệ thống này, các trung tâm y tế có thể vượt qua giới hạn đó để nâng cao chất lượng dịch vụ.
Dựa trên các nghiên cứu và thực tế triển khai, có thể dự đoán rằng trong tương lai gần, Mindray Consona N5 sẽ đóng vai trò quan trọng trong việc nâng cao năng lực chẩn đoán, hỗ trợ chuyển đổi số trong y tế, góp phần cải thiện hệ thống y tế toàn quốc và đảm bảo quyền lợi tối ưu cho bệnh nhân mọi miền đất nước.
Các Câu Hỏi Thường Gặp Về Mindray Consona N5
1. Máy Mindray Consona N5 có thích hợp cho bệnh viện nhỏ hay không?
Có, Mindray Consona N5 được thiết kế phù hợp với quy mô từ trung bình đến lớn, nhưng cũng có thể tích hợp tốt trong các trung tâm y tế nhỏ hơn với khả năng mở rộng linh hoạt.
2. Hệ thống này có cần bảo trì thường xuyên không?
Có, như mọi thiết bị công nghệ cao khác, Mindray Consona N5 yêu cầu bảo trì định kỳ để duy trì hiệu suất tối ưu và nâng cao tuổi thọ của hệ thống.
3. Giá thành của Consona N5 có phù hợp với ngân sách trung bình của các trung tâm y tế?
Giá sản phẩm tùy thuộc quy mô và tính năng, nhưng nhìn chung, đây là khoản đầu tư xứng đáng bởi hiệu quả và khả năng cải thiện dịch vụ khám chữa bệnh.
4. Liệu hệ thống này có thể tích hợp với những phần mềm quản lý bệnh viện khác?
Vâng, Mindray Consona N5 được thiết kế để dễ dàng tích hợp với nhiều hệ thống quản lý y tế và phần mềm lưu trữ dữ liệu, giúp vận hành linh hoạt và hiệu quả.
5. Có cần đào tạo đặc biệt để vận hành hệ thống này không?
Có, một số khóa đào tạo hướng dẫn vận hành và bảo trì hệ thống sẽ giúp nhân viên y tế sử dụng Mindray Consona N5 một cách tối ưu và an toàn.
Tổng Kết
Mindray Consona N5 đứng vững như một bước đột phá trong lĩnh vực thiết bị y tế, đem lại giải pháp tối ưu về công nghệ hình ảnh, xử lý dữ liệu và tích hợp hệ thống. Sự xuất hiện của nó đã mở ra nhiều cơ hội nâng cao chất lượng khám chữa bệnh, thúc đẩy chuyển đổi số và nâng tầm dịch vụ y tế toàn diện tại Việt Nam. Với những ưu điểm vượt trội và tiềm năng phát triển lâu dài, hệ thống này hứa hẹn sẽ là trợ thủ đắc lực trong hành trình cải thiện sức khỏe cộng đồng.











